近日,陕西省核工业二一五医院神经内科团队通过一张头部核磁共振影像,成功为一位83岁、多次莫名跌倒并伴随吞咽说话困难的老人明确了病因——进行性核上性麻痹(PSP)。该病在影像上表现为中脑萎缩形成的“蜂鸟征”,是一种极易被误诊的神经系统退行性疾病。


患者王大爷近三年来走路不稳、经常向后跌倒,并逐渐出现言语含糊、饮水呛咳等症状,半年前甚至无法站立。家人带其辗转多家医院,症状始终未能明确。在陕西省核工业二一五医院,神经内科团队通过系统检查,先后排除了帕金森病、脑积水等常见病因。科室主任王建峰与副主任医师王婉在细节观察中发现,患者眼球无法上下转动、平衡障碍显著,且伴有脑干功能受影响表现,从而锁定罕见病PSP的可能性。

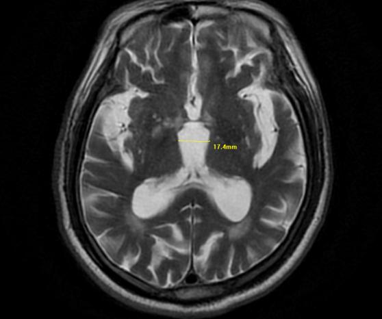
随后,脑部核磁共振影像证实了诊断:患者中脑明显萎缩,侧影形似一只“蜂鸟”。这正是PSP的特征性表现——“蜂鸟征”。该病目前尚无根治方法,主要以对症支持、康复护理为主,但明确诊断能帮助患者及家属停止盲目求医,进行针对性康复与管理,预防跌倒骨折、吸入性肺炎等并发症,有效提升生活质量。
专家提醒,如果中老年人出现不明原因频繁跌倒、眼球活动障碍、言语吞咽困难等情况,应尽早就诊神经内科,通过专业评估与影像检查及早明确诊断。
◇ 专家简介
王建峰 主任医师:擅长脑血管病介入治疗、脑梗死超早期溶栓取栓、脑出血微创治疗等。
王 婉 副主任医师:擅长脑血管病、癫痫、神经变性及脱髓鞘疾病等神经内科疾病诊疗。



扫一扫分享本页





